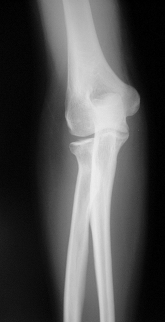
図1 a 初診時レントゲン正面像 図1 b 初診時レントゲン斜位像

図3 整復時写真:助手は前腕を把持し 図4 ゴムと絆創膏を用いた固定
末梢牽引を行う。術者は、母指頭を
骨折部に当て内上方へ直圧する。

図5 ゴムに適度な圧が加わるよう、 図6 初診時包帯固定:整復後の姿位を
伸縮テーピングをらせん状に巻いて 維持するため固定肢位は肘関節90°
固定する。 前腕回外位、肩関節30度屈曲位に固定。

図7 固定後4日目包帯固定:前方に突
き出した前腕を体幹部につけて固定。

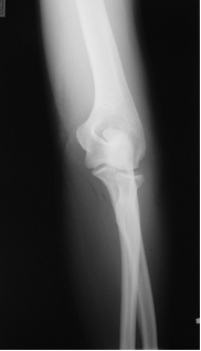
図8 a 図8 b
第24診時のレントゲン斜位像 第24診時のレントゲン正面像