右腓骨下端部骨折の治療法


清野充典1)、澤田 規2)、池内隆治2)、今田 開久1)、中村辰三2)
1)清野鍼灸整骨院、2)明治鍼灸大学医療技術短期大学部柔道整復学科

 【はじめに】

 柔道整復術は、骨折を徒手的な方法により保存的に治療できる伝統的にすぐれた治療法である。
 本症例は、右腓骨下端部骨折を起こし、整形外科で観血的外科手術を勧められた患者が、非観血的療法による治療を希望し来院した症例である。患部の固定が困難であったが、治療終了時には良好な結果を得た右腓骨下端部骨折について若干の考察を加えて報告する。

 【症例供覧】
   
患 者:
M.H 60歳 女性
診断名:
右腓骨下端部骨折
主 訴:
右足関節部痛
現病歴:
平成10年3月5日午前10時頃、仕事先で段差につまずき右足を捻って転倒。直後より足に激痛を覚え、歩行不能となった。10〜15分後に患部の腫脹が著しくなり、1時間ほど様子をみても激痛が消退しないため、仕事先に居合わせた親戚とともに近医を受診した。近医でX線撮影した結果、右腓骨下端部骨折と診断された。観血療法を薦められるが、本人は非観血療法による治療を希望し、受診先より電話相談があった。電話の内容を聞き、医師のX線所見の説明や診察内容および患者の症状から得られる観察結果をみて判断することとし、通院可能な整形外科へ転医することも視野に入れた応対を行った。迎えに行った患者のご主人の車で移動し、一旦帰宅後20時30分頃に当院に来院した。
現 症:
歩行不能、加重痛、軸圧痛、限局性局所圧痛、足底からの叩打痛、変形、腫脹あり。
既往歴:
特になし
社会歴:
機械編みの先生
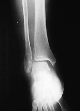
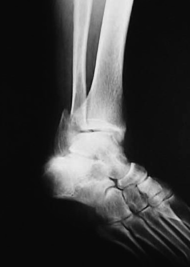
X線所見:
正面像において腓骨下端部の骨折が認められ、中枢骨片の内側への転位が認められた。側面像において中枢骨片は前下方、末梢骨片は外後上方の骨片への転位が認められた(図1、2)。  
図1
図2
経 過:
初診:
3月5日同意医師と検討した結果、徒手による非観血的療法が可能と判断する。
整復:
骨折部の転位がみられたため、術者は患者を仰臥位にし足関節部を末梢牽引し、末梢骨片を側方、後方より圧迫する(図3)。側方、後方とも左手の第2指にて押圧し、牽引している右手を船底状に提挙しながら整復を完了した。
図3
固定:
患部の腫脹軽減のために側方、後方より圧迫枕子を加えテーピング固定を行った。冷湿布を行い、大腿中央より足先まで背側にクラーメルシーネをあて、包帯にて固定する。固定肢位は膝関節軽度屈曲位、足関節中間位とした(図4)。右患側肢への体重付加を禁止し、両松葉杖歩行を指示した。
図4
確認:
翌日整復が良好に治まっているか確認するため近医にてX線撮影を行うこととした。
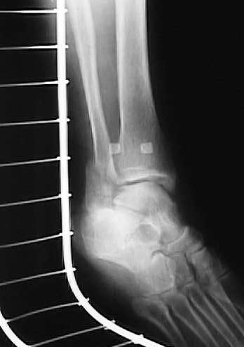
第2診 3月6日 (2日目)
X線撮影依頼(図5、6)。患者に自発痛はなく全身症状の経過は良好であったが、X線診断の結果、整復が不十分と判断し、前日同様の再徒手整復を行う。骨折部の整復状況を触診にて確認し、問題ないと判断した後、再度前日同様に固定する。
図5
図6
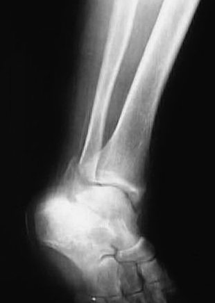
第7診 3月18日 (14日目)
X線撮影依頼(図7、8)。体重の付加を禁止したまま2週間経過。全身症状は良好。X線写真を見て骨折部位の整復・固定状況が不十分と判断、可能な限り正常な位置への復元が出来ないかを検討する。患部を触診し骨癒合が完全に行われていないと判断し、再度徒手整復を行う。中枢骨片がやや前下方に位置すると判断し、仰臥位にて末梢骨片を左手第2指で固定したまま、中枢骨片に左右の母指で前方より後方への圧迫を加え整復する。持続性を保つために生ゴムを用い、母指圧と同様の力が持続するようにテープを用いて固定した後、前日までと同様の固定を行う。
図7
図8
第10診 3月25日 (21日目)
右膝関節の拘縮予防のため、クラーメルシーネを膝下より足先まで短縮し、再度固定する。
第17診
4月8日再度X線撮影(図9、10)。医師のX線写真の結果報告により骨の位置にほぼ問題がないと判断する。
図9
図10
第20診 4月15日(42日目)
クラーメルシーネを更に短縮する。(下腿中央より足尖まで)
第23診 4月21日 (48日目)
クラーメルシーネ除去。足関節装具装着(図11)により、1/2荷重歩行を開始する。
図11
第33診 5月15日(72日目)
松葉杖なしでの歩行を開始する。
第38診 5月25日(82日目)
足関節固定装具除去、治癒とする。
 【考察】


 整復直後は、末梢骨片を中枢骨片にあわせることを行ったが、完全な整復位のままで固定を持続することが困難であった。骨化するまでの間に、筋収縮や生活動作による体動等により転位したものと考えられた。14日目という時期を選び、再度、中枢骨片を末梢骨片にむかって整復し、骨化するまでの期間を短くすることによって問題のない位置で癒合できたと思われる。初診時より中枢骨片、末梢骨片を整復する努力は行ったが、末梢骨片に意識が傾いていた。転位の大きい骨折のときは中枢骨片も整復するほうが短い時間で骨転位を修正できると臨床を通じて実感した。
 固定法は、体重の付加により中枢骨片が、前方に転移しないように弾力性のある生ゴムを使用したが、受傷直後は腫脹や内出血の出現を最小に食い止めるために用いていた通常の綿花枕子を4〜5日目の早い段階で切り替えることにより、筋の収縮による転位を最小限に抑えられたように思われた。
後療のポイントは、腓骨下端部骨折は転位の少ないときは10日目ごろより徐々に加重したほうが、癒合が早いように認識しているが、本症例は体重負荷を禁止したことにより、転位の抑制につながったと考えられた。しかし一方で完全免荷のために生じる血行不良の解消に努力した。

 【まとめ】


1) 骨折に対しては、できるだけ早く医師または柔道整復師の受診が必要である。
2) 受傷後早期の施術は処置しやすい状態であり、腫脹なども比較的軽度に治まることもある。転位が見られたときは、骨癒合が始まるまでの間にすみやかな再整復を行うことも必要である。
3) 骨の転位は毎日の包帯交換時に注意深く患部を観察することにより比較的容易に発見することが可能である。
4) 保存療法の適応に関しては症例により異なることは多いが、開放性骨折以外は全て整復を試みてみることが重要と考える。

 【参考文献】

1. 柔道整復理論(改訂第3版)、全国柔道整復学校協会・教科書専門委員会、南江堂、1997.
2. 柔道整復学―実技編、全国柔道整復学校協会・教科書委員会、南江堂、2000.
3. 神中整形外科(各論)、天児 民和、南山堂、1990.
4. 解剖学アトラス第3版、越智淳三、文光堂、1991.
5. 澤田 規、中村辰三、小田原良誠、池添祐彬、永田裕人:柔道整復における骨折・脱臼施術の要点、光和写真印刷出版部、2000.
6. Ronald McRae:図解骨折治療の進め方、医学書院、1992.
7. 寺山和雄 監修:標準整形外科学 第7版、医学書院、2001.