| 徒手整復法の適応と限界 第3報
〜足関節両果骨折の治験例〜 |
清野 充典1)、澤田 規2)、池内 隆治2)、今田 開久1)、小野寺 啓1)、中村 辰三2)、
清野鍼灸整骨院1)、明治鍼灸大学柔道整復学科2)
Key words 脛骨骨折、再整復、固定、保存療法 |
【要約】
柔道整復術は徒手的に骨折を治療する伝統的治医術であり、接骨院へ来院する骨折患者も多い。今回報告する症例は47歳の女性で足関節両果骨折を起こし、整形外科で手術療法を勧められたが、保存療法による治療を希望し来院した患者である。整復位の保持が難しい足関節両果骨折であったが、再整復により治療終了時に良好な成績が得られた症例について若干の考察を加えて報告する。骨折部は整復位の状態で固定を持続することが困難であり、骨癒合するまでの間に、筋収縮や生活動作による体動等により転位したものと考えられた。初診時の整復・固定以後に生じた転位を修正する為に、受傷後29日目に中枢骨片を末梢骨片に向かって整復したところ、日常生活上支障のない位置で癒合した。また受傷直後の固定は通常、腫脹や内出血の出現を最小に抑えるために綿花枕子を用いるが、4〜5日目の早い段階で体重の負荷により中枢骨片が、前方に転位しないように弾力性のある生ゴムに切り替えることで、筋の収縮による転位を最小限に抑えられたと考えられる。後療法のポイントとして足関節両果骨折の転位が少ないときは早期加重することで骨癒合が早期に獲得できるが、本症例は体重負荷を禁止したことにより、転位の抑制に効果があったと考えられた。しかし、一方で完全免荷のために生じる二次的合併症の予防に努力した。受傷後早期の施術は処置し易い状態であり、腫脹なども比較的軽度に治まる事もある。また、整復後の再転位が見られた時は、骨癒合が始まるまでの間に再整復を繰り返し行うことも必要であり、骨の転位は、毎日の包帯交換時に注意深く患部を観察することにより比較的容易に発見する事が可能である。
【はじめに】
柔道整復術は、骨折を徒手的な方法により治療する伝統的治療法であり来院する患者も多い。今回報告する症例は、足関節両果骨折を起こし、整形外科で観血的外科手術を
勧められたが、保存療法による治療を希望し来院した症例である。整復位の保持が困難であったが、再整復を試みたことにより治療終了時に良好な成績を得た足関節両果骨折の症例について若干の考察を加えて報告する。
【研究方法】
患者:47歳女性 診断名:右脛骨下端部骨折
主訴:右足関節部痛(右第1趾〜第4趾にかけての痺れ)
初診日:平成14年12月18日
現病歴:平成14年12月9日午前12時頃、外出先で階段を下降中に段を踏み外し、2段下まで落下、右足首を捻り転倒した。直後より足に激痛を覚え、歩行不能となった。
10〜15分後に患部の腫脹が著しくなり、不安になったため近医を受診。レントゲン撮影した結果、右脛骨内果骨折及び右腓骨下端部骨折と診断された。負傷日より10日を経
過し症状の進展をみないため、当院で非観血療法による治療を希望、当院に来院した。
現症:歩行不能、加重痛、軸圧痛、限局性局所圧痛、足底からの叩打痛、変形、腫脹
X線所見:正面像で脛骨下端部の骨折が認められ、末梢骨片は後外方へ転位していた。中枢骨片側面像では前下方への転位を認めた。腓骨は下端部で斜骨折を確認したが、転位は認めなかった
(図1)。
 |
右下腿内足方向よりの写真。内果下方に内出血を認める。 |
|
 |
左下腿外側方向よりの写真。外果下方に内出血を認める。 |
|
 |
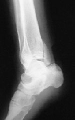
レントゲン側面像。
脛骨下端部に骨折線を認める。 |
|
 |
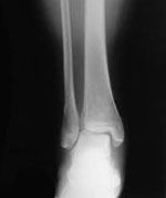
レントゲン正面像。
腓骨下端部に骨折線を認める。 |
|
Wever(1972)は腓骨の骨折と靭帯結合部との関係に基づき足関節の骨折を3型に分類している。これにより本症例を分類すると、C型のC2に分類された。これは靭帯結合部より近位側の腓骨骨折で内果の骨折を伴うものであった。
【整復】
患者を仰臥位にし、術者は右手掌で中枢骨片に前方より圧迫を加えながら、末梢骨片を右手の四指で後方より前内方に持ち上げ、中枢骨片と接合させた。転位の無い腓骨に関しては左手第2指による側方からの圧迫のみを行った。整復完了と同時に痺れは消失した
(図2)。
|
初診(12月18日)整復時の写真。脛骨下端の後方にある骨片を、前方に押し上げる。 |
【固定】
患部の固定、腫脹軽減を目的に脛骨内果部の後方、側方より圧迫枕子を加えた。腓骨は転位がないため前後方向からの圧迫枕子のみとした。両骨とも患部の動揺を防ぐため、テープによる固定を行った。冷湿布を行い、大腿中央より足先にかけて背側にクラーメルシーネをあて、包帯にて固定を行った。固定肢位は膝関節軽度屈曲位、足関節良肢位とした(図3)。右患側肢への体重付加を禁止。松葉杖歩行を指示した。
 |
整復後の転位を防ぐため、内果部に綿花枕子をあてる。 |
|
|
|
整復後の転位を防ぐため、外果部に綿花枕子をあてる。 |
|
 |
テーピによる固定 |
|
 |
クラーメル、包帯による固定 |
|
【経過】
第2診 12月19日(来院2日目)
患者に自発痛は無かったが、前日の固定後、時間経過とともに痺れが再度出現。レントゲン写真と患者症状より再度転位が発生したと判断し、再整復を行った。脛骨の末梢骨片が容易に転位してしまうことを考慮し、中枢骨片を末梢骨片に接合させることとした。患者を仰臥位にし、術者は右手の四指にて脛骨末梢骨片を後方から把持し、固定した。両母指で中枢骨片を後外方へ押圧し末梢骨片に接合させた
(図4)。整復後、痺れが消失した。
|
第2診(12月19日)整復時の写真。
脛骨中枢骨片を前方から押し込み、後方の末梢骨片に合わせる。
|
第10診 1月 7日(来院20日目)
松葉杖を用いながら右患側肢への加重を許可した。
第23診 2月 7日(来院52日目)
固定具を除去した。
第37診 3月15日(来院88日目)
レントゲン写真を読影した医師の判断にて治癒とした (図5)。
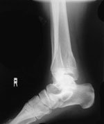
 |
受傷後88日後レントゲン正面像。 |
|
 |
受傷後88日後レントゲン側面像。 |
|
【結果】
右脛骨・腓骨ともに骨折部の癒合は良好であり、画像写真においてまったく問題がないことが確認できた。このことは徒手整復術が適応であったことを裏付ける結果であったと考えている。日常生活動作に支障が見られないことから、後療法が適切に行うことができたと認識している。
【考察】
脛骨下端部骨折の末梢骨片を中枢骨片に持ち上げた整復・固定を用い、仰臥位で安静を保つ肢位を実施したが、重力や筋の収縮などにより整復後の転位を防止できなかったと考えられる。第2診目に転位の状況から、末梢骨片に中枢骨片を合わせるように再整復を行い固定することで正常な骨の位置関係に戻すことができたと思われる。徒手整復に際し、転位の大きい時は中枢骨片を末梢骨片に合わせるという柔軟な姿勢の重要性を実感した。後療法のポイントとして体重負荷を十分な骨癒合が得られるまで禁止することにより、転位の抑制と良好な骨癒合が得られたものと考える。
【結論】
受傷後早期の施術は処置しやすい状態であり、数日以内であれば再整復行為も容易に行うことが出来る。又、整復後の再転位が見られたときは、骨癒合が完成するまでの間に再整復を試みることが必要であると考える。骨の転位の様子は、毎日の包帯交換時に注意深く患部を観察することや、患者の訴える症状などから比較的容易に発見することが可能である。今回、受傷後10日目、11日目に徒手整復術を実施し良好な成績を得た。慎重な診察と適合可否の判断が大前提であるが、受傷後2週間程度の骨折に対する整復は有効であると認識する。
【参考文献】
※全国柔道整復学校協会:柔道整復理論,南江堂,東京,p268-280,1988
※児玉 俊夫:骨折の治療,第1版,南江堂,東京,p269-282,1980
※杉岡 洋一監修 岩本 幸英編集:神中整形外科学 上巻,改訂22版,南山堂,東京,p211-224p236-279,2004
※杉岡 洋一監修 岩本 幸英編集:神中整形外科学 下巻,改訂22版,南山堂,東京,p1033-1037,2004j
※越智 淳三:解剖学アトラス,第1版,分光堂,東京,p210-211p254-261,1984
※冨士川 恭輔:骨折・脱臼,改訂2版,南山堂,東京,p889-890,2005
※林 浩一郎:新図説臨床整形外科講座,メヂカルビュー社,東京,p251
※Wever BG:Die Verletzen des oberen Spuunggelenks,Aktuelle Probreme in
die Chirurgie.Bd3.VerlagHans H uber.Bern.Stuttgart.Wien.1966
Consideration of the adaptability and limit
for injury of Judo-Seifuku therapy
-A case with fracture of both medial and lateral malleoli of the ankle-
SEINO Mitsunori 1), SAWADA Tadashi 2), IKEUCHI Takaharu 2), KONTA Hiraku
1),
ONODERA Kei 1), NAKAMURA Tatsuzou 2)
1) Seino Judo−Seifuku clinic
2) Meiji University of Oriental Medicine, Faculty of Judo-Seifuku Therapy
Key words
fracture of both medial and lateral malleoli of the ankle
repositioning
fusion
Judo-Seifuku therapy
Abstract
Many patients with fractures or other injuries present to Judo-Seifuku
clinics. Judo-Seifuku therapy is a traditional approach to closed reduction
of fractures. We report herein the case of a 47-year-old woman with fractures
of both the medial and lateral malleoli of the ankle. She was advised
by a doctor to undergo surgical therapy, but instead chose to investigate
options for preservation therapy.
Maintaining fragment position after repositioning
is difficult. Transposition is considered to occur with muscle contractions
and activities of daily living. In repositioning 29 days after fracture,
the peripheral bone fragment was fitted to the distal fragment. Fusion
then resulted. Once in position, no disturbance of activities of daily
living occurred.
The early period within 6 h after fracture
is optimal for Judo-Seifuku therapy, as swelling is minimal. If re-transposition
occurs during the fusion period, recovery of the correct position is considered
necessary before starting bone fusion.
|