徒手整復法の適応と限界
〜第5報 上腕骨外顆骨折の治験例〜
○小野寺 啓1)、清野充典1)、池内隆治2)
(1)清野鍼灸整骨院 2)明治鍼灸大学柔道整復学科)
上腕骨外顆骨折、保存療法、後療法、鍼灸治療
【はじめに】
柔道整復術は、徒手的に骨折を治療する伝統的医術であり、接骨院へ来院する骨折患者も多い。
今回報告する症例は上腕骨外顆骨折を起こし、病院及び整形外科2院で手術療法を勧められたが、保存療法による治療を希望し来院した外傷患者である。肘関節周囲の骨折は関節拘縮を伴いやすいとされている。しかし、整復後に拘縮の発生することを予測して患部の固定を少なくし、早期に後療法を開始することで良好な成績が得られた症例について若干の考察を加えて報告する。
【症例供覧】
患者 :30歳 女性
主訴 :左肘関節周囲の痛み、 左肘を動かせない
診断名 :左上腕骨外顆骨折
現病歴 :平成16年2月、自転車で走行中、急ブレーキをかけた際、前方へ放り出され左肘部をアスファルトに強打し負傷した。直後より肘関節に痛みを覚え、肘関節運動困難となった。整形外科を受診し、X線撮影等の結果、上腕骨外顆骨折と診断され外科手術を勧められた。仕事の都合上、入院を回避したいという理由で他院を受診するも、しかし、同様の診断を受け、再度外科手術を勧められた。そのため、別の治療法を検討した結果、非観血療法による治療を選択。受傷日翌日、当院に来院した。
現症 :左肘関節屈曲伸展不可。自発痛、軸圧痛、限局性圧痛、腫脹、皮下出血、熱感あり。
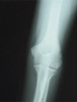
X線所見 :正面及び斜位において、左上腕骨外顆を縦方向に貫通する骨折線が認められる(図1,2)。側面では、骨折線が不明瞭。
前腕両骨に、骨折は認めない。肘関節周径 :患側 31cm 健側 28cm

図1 受傷時X線 正面像 |

図2 受傷時X線 側面像 |
【整復】
患者の肢位は肘関節90度、前腕回内位とし、助手は前腕を把持し末梢牽引を行う。術者は、母指頭を骨折部に当て内方へ直圧する(図3)。直圧した際に骨折端同士が喫合する感触を、術者は手指に確認した。
【固定】
固定肢位は肘関節90度前腕回外位、肩関節30度屈曲位とする。
直圧した母指の部分に生ゴムを当て、紙バンで止め(図4)、伸縮テープにて肘部を螺旋状に固定する(図5)。冷湿布を施し、簾副子を肘関節の側方よりあて、包帯を用いて患部の動揺を防ぐ。プライトン副子(プライトン副子の範囲は上腕中央より前腕中央まで)を添えて患部を保護し、螺旋帯で上肢全体を覆い、デゾー包帯の変法にて上腕および前腕を体幹部へ固定した(図6)。有窓固定法を用い、24時間患部の冷却を可能にした。

図3 整復
|

図4 生ゴム固定
|

図5 弾性テープ固定 |

図6 包帯固定 1 |

図7 包帯固定 2 |
|
第2診 (固定後2日目):患部31cm→28.5cmへ減少。患者の無意識的な動作により前腕部が回内するため、プライトン副子の範囲をMP関節まで延長。
第3診 (固定後4日目):前方に突き出した前腕を体幹部につけて固定(図7)。
第5診(固定後8日目):包帯の一部を三角巾に変更。
第6診(固定後15日目):前腕中間位に変更。
第9診 (固定後22日目):前腕部のプライトン副子を前腕中央まで短縮。
第10診((固定後25日目):肘関節を自動運動させても痛みなし。肘関節に拘縮が出現する。
プライトン副子を除去。患部のテーピングの量を減らす。
肘関節に対して後療法(自動運動+鍼灸治療)を開始。
第14診(固定後32日目):レントゲン撮影。未だ完全に骨癒合を認めず。
第24診(固定後61日目):レントゲン撮影。骨折部治癒(図8,9)。
第29診(固定後91日):肘関節、ROMに問題なし。

図8 61日目X線 正面像 |

図9 61日目X線 側面像 |
【考察】
今回、上腕骨外顆骨折の整復後の固定に、弾性テープや生ゴムなど、柔らかい素材の固定道具を用い、患部の腫脹に対し過度な圧迫を避けたことが、肘関節の良好な状態維持を可能したと考える。
受傷後25日目(第10診目)、肘関節の拘縮がはじまると同時に、固定具の量を減少させ、後療法(自動運動+鍼灸治療)を開始したことが、関節可動域の回復に影響を与えたものと考える。
患者に対し十分な説明を行い、後療法を早期に行わせたことが、関節拘縮を回復させ、十分な骨癒合に導くことができた最大の要因であると考える。
【結語】
肘関節のような腫脹を来たしやすい場所の外傷は、患部の腫脹を予測した固定材料を用いることが重要である。
関節拘縮を防ぐためには、骨癒合が不十分な状態でも、患部に対し積極的な後療を試みることが必要であると考える。この時、慎重な診察と後療法の可否の判断が大前提である。
関節拘縮や起こりうる様々な問題は、第4報までの発表でもすでに示しているが、包帯交換時に注意深く患部を観察することにより容易に発見することが可能である。