橈骨頭骨折の治験例
○今田開久1)、池内隆治2)、清野充典1)、小野寺啓1)、中村辰三2)
(1)清野鍼灸整骨院、2)明治鍼灸大学保健医療学部柔道整復学科)


【はじめに】
柔道整復術は骨折を徒手的に治療する伝統的医療であり、接骨院に来院する患者も多いと感じております。今回の報告は左橈骨頭骨折について、徒手整復を施し保存療法を行った症例であります。橈骨頭骨折は完全な整復が得られないと、運動障害などの後遺症を残しやすく、また固定の期間が長びけば肘関節の拘縮を起こしやすい症例です。我々は、橈骨頭骨折の保存療法において、固定の期間・運動開始の時期を考慮することにより、後遺症も無く、良好に治癒に導けた結果を得たので若干の考察を加えて報告いたします。


【症例】
患者:
43歳、男性。
主訴:左肘痛
診断名:左橈骨頭骨折
現病歴:平成15年4月13日午後2時半頃、空手の試合中にバランスを崩し、左肘をついて転倒し受傷。試合を続行し、左正拳突きをした後より運動不能となりました。当日は安静にしておりましたが疼痛が軽減せず、翌日、近医を受診しレントゲン撮影の結果、橈骨頭骨折と診断されました。手関節の亜脱臼と橈骨頭の重複骨折を起こしており、長期の観察が必要と思われました。
現症:手関節運動痛、肘関節運動不能、限局性圧痛、手掌部からの叩打痛、腫脹がありました。
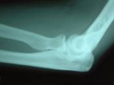
X線所見:上の写真では橈骨頸部の骨折が認められ、やや傾斜した状態の転移が認められました。また橈骨頭部に2ヶ所の骨折が認められました。こちらは、大きな転移は認められませんでした。



整復:はじめに、手関節の亜脱臼を整復いたしました。整復は患者座位にて、肘関節90度屈曲位、前腕回内位にて、第1助手は手関節やや近位を把持し、術者は両手手掌と第3〜5指にて患者の手部を把持し、両示指にて橈骨と尺骨を左右より把握しながら対牽引します。少しずつ掌屈背屈、橈屈尺屈を行いながら引き抜き整復いたしました。

続いて橈骨頭の転位の整復を行いました。写真は橈骨頭の整復を行っているところです。患者座位にて、第1助手は患者の上腕を把持し、第2助手は患者の手関節を把持します。術者は両手で肘関節部を持ち、両拇指を橈骨頭に当てます。肘関節屈曲位・前腕回内位の患肢を徐々に回外・伸展位になるよう操作しながら牽引し肘関節に内反力を加える。橈骨頭は拇指にて上内方へ強力に圧迫を加えて整復しました。さらに回外を強めて牽引しつつ肘関節最大屈曲位まで操作を行いました。

次の写真は固定の様子を示したものです。前腕回外位・肘関節90度屈曲位とし、橈骨頭を綿花による枕子にて圧迫し、クラーメルシーネを包帯で固定し、三角巾にて安静を図りました。この際に固定時より手指の運動をするように指示しております。


10日目に包帯の圧迫による血行不良を考慮し、マジックテープにてクラーメルシーネを固定し、緊迫度を患者本人が調節できるようにしました(写真)。 12日目に、前腕を回内回外中間位としました(写真)。2週目(14日目)にクラーメルシーネを除去し、パッド付のテニスエルボー用サポーターを用い、橈骨頭を圧迫するように固定しました(写真)。合わせて徐々に肘関節の自動運動を開始させます。5週目(36日目)に、患者の訴えと臨床症状により、肘関節のアライメントに問題があると考え、肘関節に手技を加えることにより症状の軽減を得ました。


この写真は、整復後の写真です。傾斜した転移は十分に正常位置に整復されていることが確認されています。この写真は、8週目(58日目)のレントゲン写真です。骨折部位は治癒と判断されました。

この写真は、固定除去後の関節の伸展可動域を示したものです。17日目、29日目、51日目、66日目です。この間5週目(36日目)に、患者の訴えと臨床症状により、肘関節のアライメントに問題があると考え、肘関節に手技を加えることにより症状の軽減を得ました。レントゲン写真にて骨折の治癒が確認できた8週目(58日目)以降、負荷をかけての運動を開始し、16週目(112日目)には関節可動域制限もなく、本人の趣味である空手による負荷運動も完全に可能となりました。




【考察】

クラーメルシーネの固定を包帯からマジックバンドに変えることにより、患者本人が緊迫度を調節することが可能となり、血行不良を改善できました。
また、患者が訴える「関節が硬くなる感じ」を判断し、痛みのない範囲で回外位より中間位としたことにより、拘縮予防できたと考えています。
加えて、14日目にクラーメルシーネを除去し、患者本人が痛みを感じない範囲での運動を許可することにより、拘縮予防と可動域の早期回復に繋がったと考えています。

【まとめ】
骨折の治療においては、完全な整復と十分な固定が必要です。しかし肘関節は、長期間の固定により関節拘縮が重大な後遺症となることが多い部位です。後遺症を最小限に抑え治癒に導くためには、患者の訴えを良く聴き患部をよく観察し、適時・適切な対応を行うことが重要と考えております。

拘縮の私見
肘関節 18〜24日
肩関節 21〜27日
膝関節 22〜28日