第13回日本柔道整復接骨医学会 発表原稿
平成16年11月27日(土)10:00〜12:00 B会場 整復治療手技



下腿骨両骨骨折の治験例
再整復の必要性
清野 充典1)・澤田 規2)・池内 隆治2) 今田 開久1)・小野寺 啓1)・中村 辰三2) 1)清野鍼灸整骨院  2)明治鍼灸大学柔道整復学科


【はじめに】
柔道整復術は、骨折を徒手的な方法により治療する伝統的治療法であり、来院する患者も多い。
非観血療法を希望し来院した下腿骨両骨骨折の症例について、整復位の保持が困難であったが、再整復により、良好な成績を得たので考察を加えて報告する。


【症 例】
患 者:47歳 女性
主 訴:右足関節部痛 右第1趾〜第4趾にかけての痺れ
診断名:右脛骨下端部骨折 右腓骨下端部骨折
現病歴:平成14年12月、階段を下りる際、転倒し負傷。右足首に激痛を覚え、歩行不能となる。近医を受診し、X線撮影の結果、下腿骨両骨骨折と診断。本人が保存的治療を希望し、受傷後10日目に当院に来院した。
現症:歩行不能、加重痛、軸圧痛、限局性圧痛、足底から叩打痛、変形、腫脹あり。
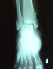
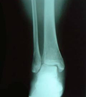
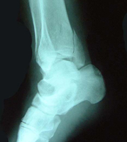
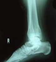
X線所見:脛骨は正面像で下端部の骨折が認められ、末梢骨片は後外方へ転位していた。中枢骨片は側面像で前下方への転位を認めた。腓骨は下端部で斜骨折を認めるが、転位は認めなかった。


初診時の写真・X線  
スライドの写真は初診時の外観で内出血の様子
レントゲンの矢印が骨折線を示す




【整 復】
患者を仰臥位にし、術者は右手掌で中枢骨片に前方より圧迫を加えながら、末梢骨片を右手の四指で後方より前内方に持ち上げ、中枢骨片と接合させる。

※写真がその整復の様子
 

【固 定】
患部の固定・腫脹軽減を目的に脛骨下端部の後方・側方より綿花枕子にて圧迫を加えた。
腓骨は、前・後方から綿花枕子を用い固定した。両骨に、患部の動揺を防ぐ目的で、テープによる固定を行った。

※写真が固定の様子
内果部に当てた綿花枕子の様子 外果部に当てた綿花枕子の様子

テーピングの様子 クラーメルを当て、包帯固定した様子


【再 整 復】
第2診 12月19日(受傷後11日目)
患者の症状とレントゲン写真の結果、脛骨下端部に再度転位が生じたと判断し、再整復を行う。
患者を仰臥位にし、術者は右手の四指にて脛骨末梢骨片を後方から把持し、固定する。両母指にて中枢骨片を後外方へ押圧し末梢骨片に接合させる。

※写真は再整復時の様子
 


受傷後88日目
写真により骨折部の治癒を認め



【考 察】
脛骨下端部骨折の末梢骨片を中枢骨片に持ち上げた整復・固定を用い、仰臥位で安静を保つ肢位を実施したが、重力や筋の収縮などにより整復後の転位を防止できなかったと考えられる。
受傷後11日目(第2診目)に転位を確認し、末梢骨片に中枢骨片が接合するよう再整復し、固定を行ったことが骨折部の良好な位置関係の維持を可能にしたと考える。
体重負荷を十分な骨癒合が得られるまで禁止することにより、転位の抑制と良好な骨癒合が得られたものと考える。


【結 語】
整復後の再転位が見られるときは、骨癒合が開始するまでの間、再整復を試みることが必要である。
再転位を起こした原因を熟慮し、柔軟な発想で整復・固定を考えることが肝要である。
骨の転位は、包帯交換時に注意深く患部を観察することや、患者の訴える症状などから比較的容易に発見することが可能である。