平成151124日(月)15001700 B会場 整復治療手技

12回日本柔道整復・接骨医学会発表原稿

【スライド1】    腓骨下端部骨折の治験例

―再整復の必要性―

清野充典1)、澤田 規2)、池内隆治2)、今田開久1)、中村辰三2)

1)清野鍼灸整骨院、2)明治鍼灸大学医療技術短期大学部柔道整復学科

【スライド2

【はじめに】

柔道整復術は骨折を徒手的な方法により治療可能な伝統的治療法であり来院する患者も多い。今回報告する症例は60歳の女性で右腓骨下端部骨折を起こし、整形外科で手術療法を勧められたが、保存療法による治療を希望し来院した患者である。整復位の保持が困難であったが再整復を繰り返すことにより治療終了時には良好な成績を得た腓骨下端部骨折の症例について若干の考察を加えて報告する。

【スライド3

【症例】

年齢:60歳  

 性別:女性

主 訴:右足関節部痛

診断名:右腓骨下端部骨折

現病歴:平成1035日午前10時頃、仕事先で段差につまずき右足を捻って転倒。直後より足に激痛を覚え、歩行不能となった。1015分後に患部の腫脹が著しくなり、近医を受診した。X線撮影した結果、右腓骨下端部骨折と診断された。観血療法を薦められるが、本人は非観血療法による治療を希望し、当院に来院した。

現 症:歩行不能、加重痛、軸圧痛、限局性局所圧痛、足底からの叩打痛、変形、腫脹あり。

既往歴:特になし

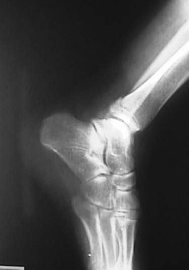
X線所見:正面像において腓骨下端部の骨折が認められ、中枢骨片の内側への転位が認められた。側面像において中枢骨片は前下方、末梢骨片は外後上方の骨片への転位が認められた。

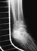
【スライド4】

このスライドがその写真です。

【スライド5】

整復:
骨折部の転位がみられたため、術者は患者を仰臥位にし、足関節部を末梢牽引し、末梢骨片を側方、後方より圧迫する(図3)。側方、後方とも左手の第2指にて押圧し、牽引している右手を船底状に提挙しながら整復を完了した。

 

3

固定:
患部の腫脹軽減のために側方、後方より圧迫枕子を加えテーピング固定を行った。冷湿布を行い、大腿中央より足先まで背側にクラーメルシーネをあて、包帯にて固定する。固定肢位は膝関節軽度屈曲位、足関節中間位とした(図4)。右患側肢への体重付加を禁止し、両松葉杖歩行を指示した。

 

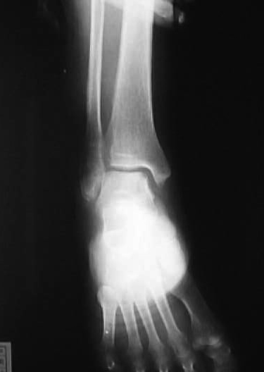
【スライド6】

確認:
翌日整復が良好に治まっているか確認するため近医にてX線撮影を行うこととした。

このスライドがそのレントゲン写真です。

2 36日 (2日目)
患者に自発痛はなく全身症状の経過は良好でしたが、X線診断の結果、整復が不十分と判断し、前日同様の再徒手整復を行いました。骨折部の整復状況を触診にて確認し、問題ないと判断した後、再度前日同様に固定をしました。

   

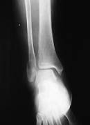
【スライド7】

7 318日 (14日目)
X線撮影依頼。体重の付加を禁止したまま2週間経過。全身症状は良好。X線写真を見て骨折部位の整復・固定状況が不十分と判断、可能な限り正常な位置への復元が出来ないかを検討する。患部を触診し骨癒合が完全に行われていないと判断し、再度徒手整復を行う。中枢骨片がやや前下方に位置すると判断し、仰臥位にて末梢骨片を左手第2指で固定したまま、中枢骨片に左右の母指で前方より後方への圧迫を加え整復する。持続性を保つために生ゴムを用い、母指圧と同様の力が持続するようにテープを用いて固定した後、前日までと同様の固定を行う。

   

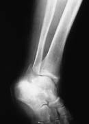
【スライド8】

17
48日再度X線撮影(図9、10)。医師のX線写真の結果報告により骨の位置にほぼ問題がないと判断する。

   

【スライド9

【考察】

骨折部は整復位の状態で固定を持続することが困難であり、骨化するまでの間に、筋収縮や生活動作による体動等により転位したものと考えられる。

初診時に整復・固定した後の転移を修正するために、受傷後14日目に中枢骨片を末梢骨片にむかって整復したところ、問題のない位置で癒合に到った。演者は、転位の大きい骨折のときは中枢骨片も整復するほうが短時間で骨転位を整復できると考えているためこの方法を選択した。固定法は通常、受傷直後は腫脹や内出血の出現を最小に抑えるために綿花枕子を用いるが、4〜5日目の早い段階で体重の付加により中枢骨片が、前方に転移しないように弾力性のある生ゴムに切り替えることにより、筋の収縮による転位を最小限に抑えられたと考えられる。後療法のテクニックとしては、腓骨下端部骨折は転位の少ないときは10日目ごろより徐々に加重することで骨癒合が早期に獲得できるが、本症例は体重負荷を禁止したことにより、転位の抑制に効果があったと考えられた。しかし、一方で完全免荷のために生じる二次的合併症の予防に努力した。

【スライド10

【まとめ】

受傷後早期の施術は処置しやすい状態であり、腫脹なども比較的軽度に治まることもある。また転位がみられたときは、骨癒合が始まるまでの間にすみやかな再整復を行うことも必要であり、骨の転位は毎日の包帯交換時に注意深く患部を観察することにより比較的容易に発見することが可能である。